
안녕하세요.
오랜만에 블로그 포스팅을 하게 되었습니다~~!!!

이번 포스팅은 건강에 관한 내용이예요.
살아가면서 중요한게 많지만, 건강을 잃으면 모든게 의미없습니다.
돈이 아무리 많은 부자라도 사랑하는 가족, 부모님, 아이, 좋은 친구처럼 소중한 인연이 아무리 많아도 자기가 자기 스스로 활동할 수 없다면 순간 순간이 매우 힘들꺼 라는 건 충분히 상상할 수 있죠~!!
그만큼 건강은 중요하고 그래서, 미리 미리 준비하고 점검해서 생길 수 있는 문제를 예방하는게 가장 중요한거 같아요.
그러기 위해 할 수 있는 것 중 우리 생활에 가까운게 건강검진이예요.
건강검진은 국가에서 국민이라면 누구나 정기적으로 검진을 받게 정책을 가져가고 있어요~
그걸 국민건강검진 또는 일반검진이라고 하는데, 체중/키를 측정하는 것부터 혈액/소변검사 등에 이르는 기본적인 진단 항목들을 무료로 받을 수 있도록 하고 있어요.
하지만, 이런 기본 일반 검진만으로는 여러 질병들을 예방하는데 충분하지 않아요.
그래서, 일반검진 외에 본인이 불안해서 확인하고픈 질병이나 가족력 등으로 점검이 필요한 질병에 대해서는 선택/ 추가 검사 항목이라는 이름으로 원하는 검사를 진행할 수 있습니다.
하지만, 그렇다고 또 모든 선택 검진을 하면 비용과 시간 모두 필요 이상으로 소모되죠.
그래서, 필요한 추가 검진 항목들을 선택하는 것이 중요해요.

만약, 일반 검진이 아니라 좀 더 상세한 검진을 받기 원하면 일반 검진과 다른 추가적인 준비가 필요해요.
일반검진은 동네 병의원에서도 가능하지만, 좀 더 기기나 시설이 필요한 검진의 경우에는 대학병원, 상급병원 혹은 검진 전문 기관에서 요청을 해서 받아 보실 수 있어요.
추가 검진을 하기 위해서는
1번째) 원하는 병원/기관을 정하고
2번째) 해당 병원에 원하는 요구사항을 말하면 상담해 주시는 분이 검사 프로그램을 제안해 주시는데, 상담 내용 혹은 본인이 생각했던 검사를 신청하시고
3번째) 가능한 일정을 맞춰서 해당일에 방문하시면 됩니다.
이때, 추가 검사의 종류가 너무 많고 내용도 복잡해서 이걸 선택하기가 너무 어려워요.

저도 그래서 여기저기 확인하고 조사한 내용을 기반으로 이번 포스팅에서 건강검진 시 받을 만한 추가 검사 항목을 정리하려고 합니다.
그럼 이제부터 시작할께요. 검사별 구분은 추천과 그렇지 않은 항목으로 되어있습니다.
건강검진 선택 검진 항목 어떤 걸 받는게 좋을까?
먼저 우리 몸에 엔진인 심장 관련 추가 검사부터 시작해서 이야기해 볼께요~~!!!
심장 관련 검사
심장 초음파
모든 심장 질환의 진단에 심초음파가 이용이 된다고 생각하면 된다. 즉 판막질환, 허혈성 심질환, 심근 질환, 심낭 질환, 심내막염 등의 진단에 필수적인 요소
추천 검사는 아닙니다.

관상동맥석회화CT (추천)
심장혈관질환 진단. 심근경색, 협심증, 대동맥박리, 관상동맥 석회화 지수 확인을 위하여 사용될 수 있습니다.
관상동맥CT (추천)
심장혈관 협착, 심근경색

전신 검사
전신 MRI
몸 전체를 검사하여 각종 질병을 전반적으로 탐색하는 검사지만, 가격이 비싼 단점이 있음.
추천 검사는 아닙니다.
PET-CT (뇌/ 전신 구분되어 진행하는 곳도 있음)
암에 특화된 검사로 전신의 암을 찾아낼 수 있는 검사합니다. 암의 유무/ 진행도/ 전이 여부를 알 수 있습니다.
하지만, 다량의 방사능에 노출된다는 점이 단점입니다.
추천 검사는 아닙니다.
전신 검사 중엔 추천이 없는데, 아무래도 범위가 커서 비용이 비싸기도 하고 검진의 측면에서는 효율이 좋은 편은 아니기 때문에 꼭 선택하진 않아도 될꺼 같네요.
뇌 관련 검사
뇌 MRI + MRA
뇌경색, 뇌졸증, 뇌종양, 뇌출혈 등 뇌에 발생할 수 있는 질병을 미리 찾아 낼 수 있는 검사입니다.
보통 병원마다 MRI 와 MRA 묶어서 한번에 하면 가격을 할인해 주는 형태로 진행됩니다.
각 검사의 특징에 대해서는 아래 개별 항목에서 추가 설명드리겠습니다.
자세한 뇌 관련 검사를 하고 싶으시다면 선택하시고 아니면 MRA 검사만 진행하셔도 됩니다.

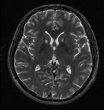
뇌 MRI
뇌의 구조나 조직을 보고 이를 통해 병을 진단하는 검사입니다.
MRI 방식이기 때문에 방사선 피폭이 없었다는 장점이 있습니다. 환자는 누워만 있으면 기기가 잉동하여 뇌의 구조를 촬영해 줍니다. 가격이 비싸다는 단점이 있습니다.
구조만 보기 때문에 이 보다는 뒤에 나올 MRA를 추천드립니다.

뇌 MRA (추천)
자기공명 혈관영상(Magnetic Resonance Angiography)을 뜻하며, 직이는 혈액을 조사하므로 특정 부위의 혈관을 영상화하는 기법입니다. 이를 통해 뇌의 혈관 상황등을 확인할 수 있고, 특히 뇌혈관의 꽈리와 같이 평소엔 이상이 없다가 혈압상승 등과 같은 이상 상태에 발생할 수 있는 뇌출혈과 이로 인해 유발될 수 있는 중풍과 같은 질병을 미리 진단할 수 있다는 점에서 효용성이 좋은 검사입니다.
뇌혈관의 질병은 사전에 미리 인지하기도 어렵고, 발생할 경우 치명적이기 때문에 해당 검사를 하시는 걸 추천드립니다.

뇌혈관 CT
CT를 통해 뇌혈관의 질병 여부를 진단하는 방식인데, 해당 방식은 방사능 피폭 등의 단점도 있고 뇌 MRA라는 좋은 대체제가 있기 때문에 관련 검진을 원하신다면 뇌 MRA 를 하시길 바랍니다.
추천하지 않습니다.
경동맥 초음파 (추천)
경동맥 초음파 검사는 초음파를 이용해 경동맥의 협착, 혈류 속도, 혈류 방향 등을 확인하는 방식으로
뇌졸중 환자뿐 아니라 평소 고혈압 등의 위험 요소를 가지고 있는 환자의 뇌혈관 상태를 쉽게 알아볼 수 있는 검사입니다.
특히 목에 있는 목동맥은 죽상경화증이 자주 발생하는 부분인데, 해당 부분을 초음파를 이용해 정확하게 알아 낼 수 있습니다.
고혈압과 같은 만성질환이나 경동맥경화, 폐쇄성 혈관 질환이 의심되는 분은 검사해 보시길 바랍니다.
뇌혈류 초음파
뇌혈관의 수축, 협착, 순환 등 초음파를 이용하여 뇌에 혈류를 공급하는 혈관의 상태 및 혈류 속도를 측정하는 검사합니다.
추천하지 않습니다.
소화기 및 내분비 관련 검사
위 내시경 (추천)
입(구강)을 통해 내시경 기구를 삽입하여 식도, 위, 십이지장을 관찰, 염증/ 궤양/ 종양 등을 진단하는 검사방식.
위 내시경의 경우 위암과 같은 위험한 질병을 사전에 진단할 수 있다는 장점이 있으므로 추천합니다.
대장 내시경 (추천)
항문을 통해 내시경 기구를 삽입하여 대장 내 염증/ 용종/ 종양/ 대장암 을 진단하는 검사방식.
국물과 맵고 짠 음식을 많이 먹는 한국인 식단의 특징상 대장암에 대한 위험이 높으므로 40대 이후 5년에 한번씩 검사하시기를 권장합니다.
복부/ 골반 CT
간질환, 췌장암, 방광암, 난소암 등의 질병을 진단할 수 있는 검진 방법이나 내시경이나 복부초음파 등을 통해 이를 대체하실 수 있으므로 추천하지 않습니다.
갑상선 초음파 (추천)
갑상선 관련 질병 (갑상선염증/ 갑상선 낭종/ 갑상선암 등)을 진단할 수 있는 검진으로 추천합니다.
특히 가족력이 있고, 30세 이후 분들에게 좋습니다.
복부비만 CT
복부의 내장지방, 피하지방을 통해 비만 상태를 확인하는 검사이나 비만의 경우 해당 방법이 아니라도 진단이 가능하고 필요 시 진료를 받는 것이 더 효과적입니다.
저선량 흉부 CT (추천)
폐 관련 질병- 폐암/ 폐질환 등을 조기 발견할 수 있는 검사로 특히 흡연 경력이 10년 이상인 분들께 추천드립니다.
성별 특화 검사

여성- 자궁 초음파 (추천)
자궁 내 질병 자궁근종/ 자궁내막질환/ 난소물혹 및 난소암을 진단할 수 있는 검사로 여성분의 경우 하시기를 권장합니다.
여성- 유방 초음파 (추천)
유방 난종/ 결절/ 유방암을 진단할 수 있는 검사로 40세 이후 여성분들에게 추천하며, 20~30대 여성의 경우 유방촬영술로 대체하시면 좋을꺼 같습니다.
여성- 인유두종 바이러스 DNA
자궁경부암을 일으키는 바이러스를 찾아내는 검사로 추천하지 않습니다.
여성- 골밀도 검사 (추천)
골밀도 상태를 확인할 수 있는 검사로 특히 50세 이상 여성분들의 경우 골다공증의 예방 및 칼슘/ 비타민D 등의 복용이 필요한지 등을 판단할 수 있는 검사로 추천합니다.
남성- 전립선 초음파 (추천)
60세 이상 남성에 경우 흔한 전립선 관련 질병을 진단할 수 있는 방식으로 해당 나이대 남성분들에게 추천합니다.
근골격계 관련 검사


경추/ 요추/ 척추 관련 MRI & X 레이
어깨 MRI & X 레이
팔꿈치 MRI & X 레이
무릎 MRI & X 레이
근골격계 질환의 경우 보통 환자가 인지하는 경우가 많고, 꼭 검강검진이 아니더라도 생활하면서 이상징후를 발견할 수도 있고, 상시 진단 및 관련 치료가 가능하기 때문에 꼭 검진 항목으로 진행해야 하는 것은 아닙니다.
추천하지 않습니다.
이외 검사
치매 검사 - 뇌 MRI / MRA, 해마 MRI 및 진단
치매의 경우 진단으로써 효율이 높지 않아 추천하지 않습니다.
유전자 검사
남성암 / 여성암, 맞춤형 일반 질환/ 뇌 관련 질환 등의 위험요소를 확인하는 유전자 검사의 경우 실상 가족력만 알아도 위험 인자를 검사를 하지 않아도 인지할 수 있기 때문에 비용을 지불하고 검사하는 것보다 오히려 가족력을 확인하는 것이 좋은 선택으로 생각되네요.

기타 검사
위에 언급된 검사 이외에도 병의원/ 진단 기관 등에서 다이어트, 안티에이징 관련 여러 검사를 제공하지만 해당 검사들은 원하실 경우 선택적으로 진행하면 되는 내용이다.
여기까지 종합검진 추가 검사항목에 대한 내용을 알아봤습니다.
위 내용 참조하시고, 본인의 가족력/ 연령 등을 참고하시어 검진을 통해 건강 관리 잘 하시기 바랍니다.
하지만, 무엇보다 규칙적인 생활/ 운동, 좋은 식습관을 통해 병이 발생하기 어려운 환경을 만들어 주는게 좋겠죠.
다들 건강 관리 잘하셔서 건강하고 활기찬 하루 하루 보내시길 바랍니다.
포스팅 읽어 주셔서 감사합니다~~~ ^^

이 포스팅은 쿠팡파트너스 활동의 일환으로 이를 통해 수수료를 받을 수 있습니다.
'일상생활' 카테고리의 다른 글
| 휴대폰 고장 - 휴대폰 충전이 안 될 때 조치 방법, 케이블 문제 (0) | 2025.04.27 |
|---|---|
| (간단 정리) 건강검진 - 선택 추천 항목강검진 - 선택 추천 항목 (0) | 2025.01.12 |
| 편의점 택배 운임 - CU/ GS 25 택배 배송 조회 방법 (1) | 2022.09.09 |
| 윈도우 사용팁- 윈도우 오피스 글자 간격 벌어지는 문제해결 방법- 반자, 전자 전환 단축키 (2) | 2022.08.13 |
| [Youtube] 유튜브 음원 추출 사이트 그냥 여기면 되요. 다운로드 받는 법 (4) | 2022.08.09 |
댓글